SeppLeaf, the gilder's source
ph 212-683-2840       sales@seppleaf.com
LoginBasket: 1 Item

Blogs

Authors   Comments   New

Gold Nanoparticles & The Future of Medical Diagnostics - Chad Mirkin - NANOSPHERE

Date

  Thu 11 Jul 2019

Tags

  gold, nano, dna, medical diagnostics, fda, verigene, nanosphere

URL

  https://www.youtube.com/watch?v=_MgMiK7LKc8

Abstract

"When you arrange DNA in this format [as helical strands attached by-end to points on a nano gold cluster / sphere], you get an interesting property where these types of structures will [freely enter human cells]; whereas linear DNA [will be blocked by the cell wall]. ... Once you can get these types of structures inside cells, you now can begin to flip genetic switches [i.e., modify DNA from within the cell]..."

This was already well underway in 2012.

Content

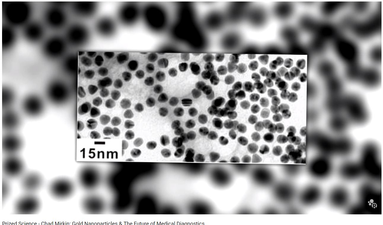
Chad Mirkin, Ph.D., the 2012 winner of the American Chemical Society's Award for Creative Invention, is no stranger to the value of gold, but not in the traditional sense. Working in the nano scale, Mirkin uses gold particles to create promising new medical diagnostic tools that could lead to future cancer treatments and ways to track and treat diseases at earlier stages. Mirkin and his team discovered a method in which DNA strands are tacked onto the surface of gold nanoparticles creating spherical DNA structures that have exceptionally unique properties.

Unlike linear DNA, these structures can penetrate deep into cells, allowing them to flip genetic switches at the root of certain diseases or mutations. Mirkin is well known for his work on the Verigene System, which can provide patient diagnostics at the point of care. Instead of sending tests or samples out to labs -- a potentially time consuming process -- this tool can diagnose diseases on site at hospitals or in the doctor's office. By improving the speed and accuracy of diagnostics, doctors able to treat diseases more quickly and effectively. Although Mirkin's research focuses on incredibly small scales, the effects of his innovations in the field of medical diagnostics are massive.

15nm
Title: 15nm
Link: http://seppleaf​.com/pic/5d27385a487e7c7b0b8b4568   Manga
Uploaded By: -


DNA 3D Nano Gold Cluster Sphere
Title: DNA 3D Nano Gold Cluster Sphere
Link: http://seppleaf.com/pic/5d​27385a487e7c7b0b8b456a   Manga
Uploaded By: -

SeppLeaf, the gilder's source

SeppLeaf Products provides an unparalleled array of genuine gold leaf, silver leaf, palladium leaf, and metal leaf; gilding tools and supplies.

SeppLeaf Products distributes Liberon premium finishes, Kolcaustico Venetian plaster, Mixol Universal Tints, and Gold Gourmet edible genuine gold and silver.

SeppLeaf Products is a corporate member of the Society of Gilders.

© 2026   SeppLeaf Products, Inc.

Contact Us


381 Park Ave. South #1301
New York, NY 10016

Phone 212-683-2840

sales@seppleaf.com

Contact Us

About Us